
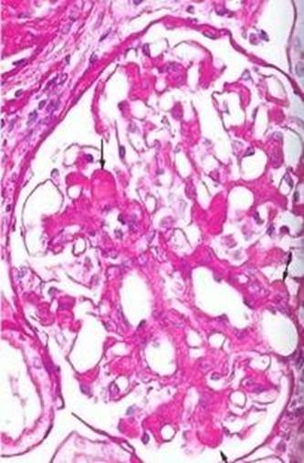
IgA肾炎(IgA glomerulonephritis)是以反复发作性肉眼或镜下血尿,肾小球系膜细胞增生,基质增多,伴广泛IgA沉积为特点的原发性肾小球疾病。 1968年Berger首先描述本病,故又称Berger病。此外,又被称为IgA-IgG系膜沉积性肾炎和IgA系膜性肾炎等。 IgA肾病也可解释为肾活检免疫荧光检查肾小球系膜区有大量颗粒状IgA沉积为特征的原发性肾小球疾病。
想要了解更多“IgA肾炎”的信息,请点击:IgA肾炎百科

IgA肾炎(IgA glomerulonephritis)是以反复发作性肉眼或镜下血尿,肾小球系膜细胞增生,基质增多,伴广泛IgA沉积为特点的原发性肾小球疾病。 1968年Berger首先描述本病,故又称Berger病。此外,又被称为IgA-IgG系膜沉积性肾炎和IgA系膜性肾炎等。 IgA肾病也可解释为肾活检免疫荧光检查肾小球系膜区有大量颗粒状IgA沉积为特征的原发性肾小球疾病。
想要了解更多“IgA肾炎”的信息,请点击:IgA肾炎百科